Acute Pancreatitis Pseudocyst. Pseudocysts which occur after acute pancreatitis have a different course as compared to those appearing after chronic pancreatitis so that a distinct treatment is also needed 6 19 20. Pancreatic pseudocysts are usually complications of pancreatitis although in children they frequently occur following abdominal trauma pancreatic pseudocysts account for approximately 75 of all pancreatic masses. The presence of pseudocysts may create complications in the cases of acute pancreatitis. There was no significant difference in the spontaneous resolution rate between both groups.
People with chronic pancreatitis can also get pseudocysts. A pancreatic pseudocyst is a collection of tissue and fluids that forms on your pancreas. There was no significant difference in the spontaneous resolution rate between both groups. Pseudocysts affect acute pancreatitisin10 to 23 of the patients. Pancreatic pseudocyst developed in 14 6 of acute pancreatitis and in 41 8 of acute on chronic pancreatitis p 0 00. Approximately 14 6 of the patients who experience acute pancreatitis are expected to develop a pancreatic pseudocyst as a complication.
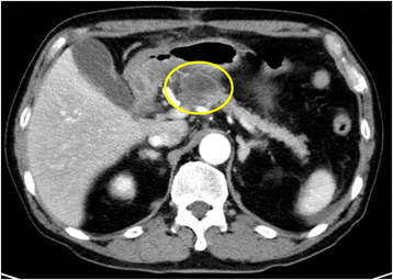
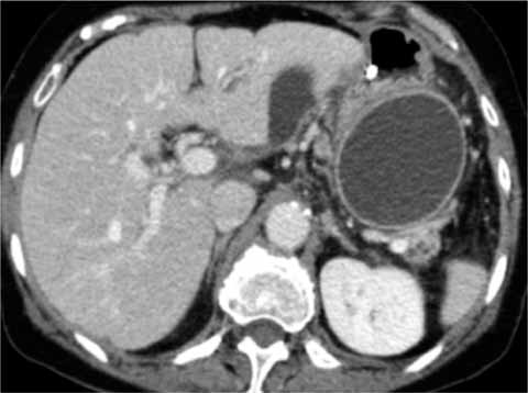
A pancreatic pseudocyst is a collection of tissue and fluids that forms on your pancreas.
Pseudocyst is a common complication of acute and chronic pancreatitis. People with chronic pancreatitis can also get pseudocysts. A pancreatic pseudocyst is a circumscribed collection of fluid rich in pancreatic enzymes blood and necrotic tissue typically located in the lesser sac of the abdomen. Pseudocyst is a common complication of acute and chronic pancreatitis. While spontaneous resolution of acute pseudocysts is frequent in approximately 50 of cases acute pseudocysts progress to chronic pseudocysts. It can be caused by injury or trauma to the pancreas but the most common cause of pancreatic pseudocysts.